Dị tật hậu môn trực tràng: Chữa trị thành công bằng kỹ thuật tiên tiến
Tạo hình hậu môn cho bệnh nhi sơ sinh không có hậu môn thể hiếm gặp
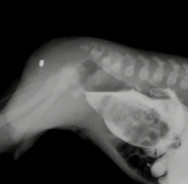
Bé L.T.A.M. (sinh đủ tháng, nặng 3kg) được đưa đến Bệnh viện Đa khoa Khánh Hòa trong tình trạng không lỗ hậu môn, chỉ có một chấm phân su nhỏ ở gốc bìu. Với kinh nghiệm chuyên môn, các bác sĩ tiên lượng đây là ca dị tật phức tạp, chỉ định chụp đường dò trực tràng. Kết quả đúng như nhận định, bệnh nhi bị dị tật hậu môn thể cao, có đường dò trực tràng – bìu – một thể bệnh hiếm gặp, y văn thế giới chỉ ghi nhận vài trường hợp.

Sau khi hội chẩn chuyên môn cùng Bệnh viện Nhi Đồng TP. Hồ Chí Minh, ê-kíp phẫu thuật gồm BSCKII. Nguyễn Thanh Tồn – Phó Giám đốc Bệnh viện và BSCKI. Nguyễn Minh Đức – Khoa Ngoại Tổng quát đã quyết định can thiệp đặt hậu môn nhân tạo tạm thời đoạn giao đại tràng trái và sigma. Khi bệnh nhi được 3 tháng tuổi, ê-kíp tiếp tục phẫu thuật tạo hình hậu môn ngã dọc trước. Trong khi mổ, phẫu thuật viên phải dùng kính vi phẫu để bóc tách đường dò đi sát niệu đạo – một thao tác cực kỳ khó, đòi hỏi độ chính xác cao.

Kết quả ca phẫu thuật thành công vượt trội, đóng hậu môn tạm và theo dõi tái khám định kỳ. Sau 1 năm, bé đại tiện bình thường, không táo bón, không ứ đọng phân, phát triển khỏe mạnh. Ca bệnh này là một trong những minh chứng sống động cho hiệu quả của việc áp dụng kỹ thuật tạo hình hậu môn mà Bệnh viện đã làm chủ suốt một thập kỷ qua.
Lần tái khám này, mẹ bé xúc động chia sẻ: “Khi bác sĩ thông báo ca phẫu thuật thành công tôi rất mừng, qua theo dõi thấy con không có gì bất thường, tái khám bác sĩ đánh giá phục hồi tốt, tôi mới trút được nỗi lo trong trong suốt 1 năm qua”.
Làm chủ kỹ thuật – Mở rộng cơ hội sống bình thường cho trẻ dị tật
Mỗi năm, trên thế giới có khoảng 1/5.000 trẻ sơ sinh chào đời mắc dị tật hậu môn trực tràng, khiến các em không thể tự đi tiêu bình thường ngay từ khi mới sinh. Nếu không được phát hiện và can thiệp sớm, trẻ có thể gặp nhiều biến chứng nghiêm trọng về tiêu hóa, tiết niệu và ảnh hưởng lâu dài đến sự phát triển thể chất lẫn tinh thần.
Tại Bệnh viện Đa khoa Khánh Hòa, điều trị dị tật hậu môn trực tràng đã được triển khai từ năm 2015. Trung bình mỗi năm, Bệnh viện tiếp nhận khám 10–20 ca với nhiều thể bệnh khác nhau. Nhờ làm chủ kỹ thuật tạo hình hậu môn tiên tiến, đặc biệt là kỹ thuật Pena, đội ngũ Khoa Ngoại Tổng quát đã thực hiện hơn 50 ca phẫu thuật, bao gồm cả những trường hợp khó và hiếm gặp, giúp bệnh nhi tự chủ đại tiện và hòa nhập cuộc sống bình thường. Qua theo dõi lâu dài, hầu hết bệnh nhi đều có hậu môn tạo hình hoạt động tốt sau can thiệp, chức năng ổn định và gần như không có biến chứng đáng kể.

Dị tật hậu môn trực tràng có nhiều thể khác nhau. Với thể cao hoặc có đường dò niệu đạo, trẻ sẽ được làm hậu môn nhân tạo tạm thời, sau đó tạo hình hậu môn bằng kỹ thuật Pena khi được 3 tháng tuổi, và đóng hậu môn tạm sau 6 tuần. Còn với thể thấp hoặc hậu môn màng, dò hậu môn da, bác sĩ sẽ lựa chọn tạo hình một thì duy nhất bằng Pena hoặc Y-V Anoplasty, giúp trẻ sớm phục hồi chức năng sinh lý.
Phát hiện sớm – Chìa khóa cho điều trị thành công
Nguyên nhân dị tật hậu môn trực tràng hiện vẫn chưa được xác định hoàn toàn, song yếu tố di truyền được xem là đóng vai trò quan trọng. Phụ huynh cần quan sát kỹ trẻ ngay sau sinh: nếu không thấy lỗ hậu môn, hậu môn ở vị trí bất thường hoặc trẻ không đi phân su sau 24 giờ, cần đưa ngay đến cơ sở y tế có bác sĩ chuyên khoa ngoại nhi sơ sinh để được chẩn đoán và xử trí kịp thời.
Việc tầm soát dị tật hậu môn trực tràng, phẫu thuật đúng kỹ thuật và chăm sóc hậu phẫu đúng hướng dẫn sẽ giúp trẻ có cơ hội phát triển bình thường như bao trẻ khác.
Phát triển ngoại nhi chuyên sâu nâng cao chất lượng điều trị
Mỗi ca phẫu thuật thành công không chỉ là kết quả tiến bộ về chuyên môn mà còn là niềm hạnh phúc quý giá và động lực to lớn của người thầy thuốc.
BSCKII. Nguyễn Thanh Tồn nhấn mạnh: số lượng bệnh nhi dị tật bẩm sinh khám và điều trị tại Bệnh viện Đa khoa Khánh Hòa ngày một nhiều hơn, đó là điều khiến chúng tôi trăn trở và tiếp tục nỗ lực hướng đến mục tiêu phát triển mạnh mẽ, làm chủ thật nhiều kỹ thuật chuyên sâu về ngoại nhi. Chúng tôi sẽ có thêm cơ hội giúp trẻ em trên địa bàn tỉnh và khu vực lân cận được điều trị hiệu quả ngay tại Khánh Hòa, không phải chuyển tuyến xa, giảm gánh nặng chi phí và mang lại hy vọng trọn vẹn cho nhiều gia đình. Chúng tôi tin tưởng rằng sẽ có thêm thật nhiều những đứa trẻ không may mắc dị tật được trở về bình thường và lớn lên khỏe mạnh.
🏥 BỆNH VIỆN ĐA KHOA KHÁNH HÒA
📍 Địa chỉ: 19 đường Yersin, phường Nha Trang, tỉnh Khánh Hòa
☎️Điện thoại: 0258 3822 175
🌐Website: www.benhvienkhanhhoa.org.vn
———–
🏥KHOA KHÁM BỆNH
🌸Địa chỉ: Cổng số 1, 19 đường Yersin, phường Nha Trang, tỉnh Khánh Hòa
☎️ Điện thoại: 091 187 4926 – 091 187 4969
———–
🏥TRUNG TÂM DỊCH VỤ Y TẾ
🌸Địa chỉ: Cổng số 4, 19 đường Yersin, phường Nha Trang, tỉnh Khánh Hòa
☎️ Điện thoại: 091 187 4978 – 091 173 6188
———–
🏥ĐƠN NGUYÊN NỘI SOI
🌸Địa chỉ: Cổng số 1, 19 đường Yersin, phường Nha Trang, tỉnh Khánh Hòa
☎️ Điện thoại: 096 951 5926 – 091 102 4877









