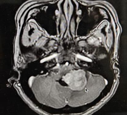
Ngày 19/5/2024, Bệnh viện Đa khoa tỉnh Khánh Hòa đã phẫu thuật thành công cho một bệnh nhân bị u não Ependymomas tiểu não. Bệnh nhân Đ.T.T.T (42 tuổi, Ninh Hòa) nhập viện với triệu chứng đau đầu và yếu nửa người trái. Qua quá trình khám và chụp MRI, bác sĩ phát hiện khối u ở tiểu não trái kích thước 25x30x35mm, gây chèn ép vào các cấu trúc não xung quanh. Sau khi được tư vấn, bệnh nhân đồng ý tiến hành vi phẫu thuật để lấy khối u và gửi đi giải phẫu bệnh.

Bệnh nhân được các bác sĩ Khoa Ngoại Thần kinh Bệnh viện Đa khoa tỉnh Khánh Hòa thực hiện, với sự hỗ trợ của TS.BS. Đỗ Hồng Hải – Chuyên gia phẫu thuật thần kinh từ Bệnh viện Đại học Y Dược TP Hồ Chí Minh. Ca phẫu thuật đã được thực hiện thành công sau 4 giờ, khối u được lấy hoàn toàn và bệnh nhân cải thiện rõ rệt các triệu chứng đau đầu, yếu nửa người chỉ sau 2 ngày. Kết quả giải phẫu bệnh xác nhận đây là u não Ependymomas tiểu não.
Bác sĩ Chuyên khoa II Nguyễn Minh Phước – Trưởng Khoa Ngoại Thần kinh Bệnh viện Đa khoa tỉnh Khánh Hòa cho biết, U màng nội tủy (Ependymomas) là một loại của U thần kinh đệm thường xuất hiện ở trong hoặc cạnh hệ thống não thất. U màng nội tủy thường gặp ở hố sọ sau, ở não thất tư hoặc tủy sống, nó cũng có thể gặp ở vùng bán cầu đại não (nhất là ở trẻ em), chiếm khoảng dưới 10% khối u thần kinh trung ương và 25% các khối u nguyên phát của tủy sống. Hầu hết u nằm ở hố sọ sau, biểu hiện bằng hội chứng tăng áp lực nội sọ (đau đầu, nôn, phù gai thị, rối loạn tri giác). Triệu chứng của khối u ở vùng tiểu não bao gồm chóng mặt và rối loạn thăng bằng. Nếu khối u thâm nhiễm vào dây thần kinh sọ, có thể gây liệt dây thần kinh sọ số VI đến X, hoặc liệt nửa người nếu khối u chèn ép vào thân não.

Nguyên tắc điều trị đối với loại u này là phẫu thuật cắt bỏ tối đa khối u và xạ trị. Mục đích phẫu thuật là loại bỏ toàn bộ khối u, bảo vệ chức năng thần kinh. Khả năng cắt bỏ tối đa khối u làm tăng thời gian sống thêm ý nghĩa. Khả năng cắt bỏ khối u phụ thuộc vào kích thước, mức độ xâm lấn của u vào thân não, các dây thần kinh sọ và kinh nghiệm của phẫu thuật viên. Xạ trị thường được sử dụng sau khi phẫu thuật cắt bỏ khối u, giúp giảm tỷ lệ tái phát tại chỗ lấy u.
Bệnh viện Đa khoa tỉnh Khánh Hòa là một trong những bệnh viện được đầu tư hệ thống phòng mổ và trang thiết bị hiện đại, cùng với đội ngũ phẫu thuật viên thần kinh chuyên sâu, đã thường xuyên thực hiện thành công nhiều ca phẫu thuật u não khó tương tự. Điều này không chỉ nâng cao hiệu quả điều trị mà còn tiết kiệm chi phí cho bệnh nhân khi không phải chuyển lên tuyến trên.










