Vừa qua, Khoa Ngoại Thần kinh đã điều trị thành công một trường hợp xuất huyết dưới nhện do túi phình dạng bọng nước.
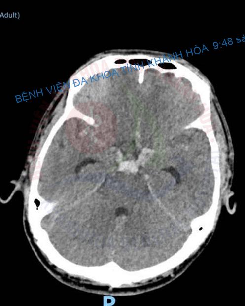
Theo đó bệnh nhân nam, 43 tuổi vào viện với chẩn đoán: xuất huyết dưới nhện lan toả sau tai nạn. Qua khai thác tiền sử, bệnh sử và thăm khám lâm sàng, bệnh nhân được chẩn đoán sơ bộ xuất huyết dưới nhện lan toả do chấn thương, cần phân biệt với xuất huyết dưới nhện tự phát do túi phình mạch não vỡ. Sau hội chẩn, các bác sĩ tiến hành chụp cắt lớp vi tính mạch não (CTA) đánh giá tổn thương. Kết quả chụp ghi nhận bệnh nhân có túi phình động mạch đốt sống bên phải trên vị trí xuất phát của động mạch tiểu não trên (SCA) phải, dạng hình bọng nước, có nhú vỡ ở đỉnh.



Đánh giá đây là một trường hợp khó, nguy cơ cao và là cấp cứu ngoại khoa, bệnh nhân đã được tiến hành điều trị bằng can thiệp nội mạch làm tắc túi phình. Thủ thuật này được thực hiện bởi các bác sĩ Khoa Ngoại Thần kinh – Bệnh viện Đa khoa tỉnh Khánh Hoà với sự hỗ trợ chuyên môn từ Bác sĩ Trần Quốc Tuấn – Trưởng Đơn vị Can thiệp Nội mạch Thần kinh, Bệnh viện Đại học Y Dược Thành phố Hồ Chí Minh. Sau 3 giờ với kỹ thuật đặt stent đổi hướng dòng chảy (flow diverted) và coiling bảo vệ đáy túi phình, tình trạng bệnh nhân dần ổn định và được xuất viện.
Bác sĩ chuyên khoa II Nguyễn Minh Phước, Trưởng Khoa Ngoại Thần kinh cho biết: túi phình dạng bọng nước là loại túi phình hiếm gặp chiếm 0,3 – 1% túi phình nội sọ và 0,9 – 6,5% túi phình nội sọ vỡ. Dạng túi phình này được mô tả bởi tính chất thành mỏng ở đáy, khó nhận diện cổ một cách rõ ràng và có nguy cơ vỡ cao. Không giống như các túi phình dạng túi, túi phình blister điển hình xuất phát từ phần không phân nhánh thuộc đoạn trên mấu giường (supraclinoid) của động mạch cảnh trong. Điều trị túi phình này là một thách thức lớn khi coiling đơn thuần sẽ rất dễ thất bại, do đó điều trị bằng stent chuyển dòng được coi là lựa chọn tối ưu hơn mặc dù chi phí điều trị cao và bệnh nhân phải dùng thuốc kháng tiểu cầu trong thời gian dài. Khoa Ngoại Thần kinh với đội ngũ bác sĩ được đào tạo bài bản cùng với trang thiết bị hiện đại và sự hỗ trợ chuyên môn của các bệnh viện tuyến trên đang dần làm chủ các kỹ thuật cao, đáp ứng điều trị cho bệnh nhân tỉnh nhà và các tỉnh lân cận, hạn chế chuyển lên tuyến trên.










