Chỉ trong 4 ngày từ 10/7 đến 14/7/2019, ê kíp phẫu thuật viên gồm BSCKII. PHAN HỮU CHÍNH cùng BSCKI. NGUYỄN NGỌC NGHĨA, đã phẫu thuật thay khớp nhân tạo cho 04 bệnh nhân, trong đó bệnh nhân trẻ tuổi nhất là 65, lớn tuổi nhất chỉ là 94 tuổi, vì BS Chính đã từng thay khớp háng thành công cho cụ ông 104 tuổi!
Ngày 10/7/2019, bệnh nhân Ngô Mạnh Đ., 71 tuổi, địa chỉ Võ Cang, Vĩnh Trung, Nha Trang được chuyển mổ với chẩn đoán Thoái hóa khớp gối 2 bên độ IV. Bệnh nhân có tiền sử đái tháo đường, trọng lượng cơ thể nặng so với chiều cao. Bệnh nhân và người nhà được BS Chính giải thích “ Lần mổ này sẽ thay khớp gối trái toàn phần. Sau khi ổn định xuất viện, tập vật lý trị liệu và phục hồi chức năng. Sau 3 tháng, thì bệnh nhân sẽ nhập viện để phẫu thuật cho chân phải.”. Bệnh nhân đã đồng ý, được chuyển mổ lúc 10h00, đến 11h30 là kết thúc và chuyển về phòng hồi sức sau mổ theo dõi.

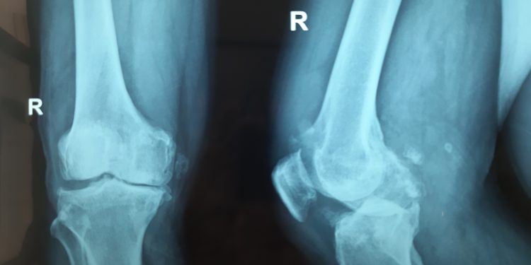
Hình khớp gối của bệnh nhân trước mổ
Ngày 12/7/2019, trong 90 phút, từ 9h00 đến 10h30, ê kíp phẫu thuật đã thay khớp háng toàn phần không xi măng chuyển động đôi cho bệnh nhân Lữ Tiên H. 73 tuổi, sống tại Vạn Giã, Vạn Ninh. Cụ ông bị gãy cổ xương đùi trái do tai nạn sinh hoạt. Đến 12h00 cùng ngày, BS Chính và BS Nghĩa đã hoàn tất cho ca phẫu thuật thay lại khớp háng trái cho bệnh nhân nữ Đặng Thị G. 65 tuổi, được Trung tâm Y tế Cam Lâm chuyển đến khoa Ngoại CTCH – Bỏng lúc 10h30 ngày 10/7/2019 với chẩn đoán trước mổ là lỏng chuôi khớp háng nhân tạo đã thay khớp háng cách đây 6 năm. Lần này phẫu thuật viên mở lại ổ khớp nhân tạo trái, lấy chuôi bị lỏng, thay vào khớp háng bán phần chuôi dài có xi măng. Sau mổ bệnh nhân được nẹp cố định chân trái bằng nẹp Zimmer.

Hình thay khớp gối nhân tạo của bệnh nhân sau mổ
Đến ngày 14/7/2019, ê kíp đã phẫu thuật cho Cụ Bà Phạm Thị M. 94 tuổi, địa chỉ Vạn Thắng, Nha Trang. Bệnh nhân được chẩn đoán Gãy liên mấu chuyển xương đùi phải do tai nạn sinh hoạt. Sau 60 phút phẫu thuật, PTV đã thay khớp háng bán phần chuôi dài có xi măng.
Đến thăm và tiếp xúc với các bệnh nhân được thay khớp, tất cả đều tỉnh táo, dấu hiệu sinh tồn ổn định, giao tiếp tốt, bệnh nhân còn đau ít. Riêng cụ bà M. do mới mổ và tuổi cao sức yếu nên còn đau, nhưng rất tỉnh táo, đã chia sẻ “mong sao về nhà để tập đi và được đi lại như trước khi bị gãy chân”.
Ths.BS nội trú Lê Minh Hoan – Trưởng khoa Ngoại CTCH – Bỏng đã chia sẻ: “Phẫu thuật thay khớp nhân tạo là đại phẫu. Hiện nay nhờ khoa Phẫu thuật – Gây mê hồi sức trang bị nhiều thiết bị mới và triển khai nhiều kỹ thuật vô cảm trong mổ, cũng như phối hợp giảm đau sau mổ cho bệnh nhân rất tốt, nên tránh được nhiều biến chứng nguy hiểm, mà có thể ảnh hưởng đến sức khỏe của bệnh nhân”.

X-quang khớp háng của bệnh nhân trước mổ
BS. Phan Hữu Chính – Giám đốc Bệnh viện Đa khoa tỉnh Khánh Hòa, nguyên là Trưởng khoa Ngoại CTCH – Bỏng trong nhiều năm, cho biết: “Kỹ thuật thay lại khớp háng là kỹ thuật rất khó, thời gian phẫu thuật dài (từ 2 giờ trở lên) nên đòi hỏi người thực hiện phải có tay nghề cao. Hiện nay, kỹ thuật này chỉ được triển khai ở một số bệnh viện chuyên ngành tuyến trung ương, rất ít bệnh viện tuyến tỉnh thực hiện được. Trong chương trình chuyển giao kỹ thuật thay khớp háng nhân tạo do Giáo sư, bác sĩ Frank Friedrich Henning – Chủ nhiệm khoa Phẫu thuật Chỉnh hình Bệnh viện Đại học Erlangen, CHLB Đức chuyển giao tại Bệnh viện Đa khoa tỉnh trong nhiều năm trước đây, hiện nay song song với nhiệm vụ lãnh đạo bệnh viện, BS Chính sẽ tiếp tục chuyển giao cho các BS trẻ của khoa nhằm tiếp tục phát triển kỹ thuật thay khớp nhân tạo để hàng năm Giáo sư – bác sĩ Frank Friedrich Henning về Bệnh viện Đa khoa tỉnh sẽ chuyển giao các kỹ thuật mới tiếp theo, giúp BS nâng cao kỹ thuật chuyên môn và cũng không phải chuyển bệnh nhân đi xa. Vì ngoài hoại tử chỏm xương đùi và một số bệnh lý khác của khớp háng – khớp gối, thì thoái hóa khớp sinh lý thường xảy ra ở bệnh nhân lớn tuổi, có trọng lượng cơ thể nặng nên việc di chuyển bệnh nhân sau chấn thương rất khó khăn cho người bệnh.

X-quang sau mổ thay khớp háng nhân tạo của bệnh nhân
BSCKI. Nguyễn Ngọc Nghĩa chia sẻ:
+ Thay khớp nhân tạo là một trong những bước tiến mới của nền y học thế giới, không những đáp ứng được nhu cầu của bệnh nhân và người nhà mà còn là niềm hy vọng cuối cùng giúp họ có thể vận động và đi lại bình thường. Tùy vào tình trạng sức khỏe thực thể của từng bệnh nhân mà BS sẽ có chỉ định phương pháp điều trị cụ thể cho việc thay khớp nhân tạo. Tại khoa Ngoại CTCH – Bỏng đã phẫu thuật được 174 ca thay khớp háng, 06 ca thay khớp gối từ đầu năm 2019 đến nay.
+ Tỉ lệ thay khớp gối thấp có thể do tâm lý của người bệnh lo sợ phẫu thuật nên cố gắng chịu đau để bảo tồn chưa quyết định mổ.

Chuôi khớp háng nhân tạo của bệnh nhân bị lỏng
+ Thay khớp háng nhân tạo là phẫu thuật khó, kéo dài. Vì vậy người bệnh cần phải lưu ý một số vấn đề trước và sau khi tiến hành phẫu thuật cần phải hợp tác với BS:
- Bệnh nhân có sự chuẩn bị tâm lý thật tốt trước khi tiến hành ca phẫu thuật. Nghe bác sĩ tư vấn chi tiết để có thể cân nhắc lựa chọn phương pháp điều trị.
- Sau khi phẫu thuật thay khớp nhân tạo, bệnh nhân nên có chế độ nghỉ ngơi hợp lý. Đặc biệt, người bệnh nên chú ý đến vấn đề chế độ ăn uống để bệnh nhanh chóng hồi phục.
- Tuyệt đối tuân thủ các chỉ định của bác sĩ chuyên khoa. Có thể luyện tập thêm các bài tập vật lý trị liệu theo sự hướng dẫn của bác sĩ chuyên khoa.

X-quang của bệnh nhân sau khi thay lại khớp háng nhân tạo lần 2 do lỏng chuôi
+ Có thể thấy, đối với phẫu thuật thì nhiều khi cũng không thể tránh khỏi những biến chứng phức tạp trong quá trình mổ như: sốc phản vệ khi gây mê. Một số biến chứng có thể xảy ra trong và sau khi thay khớp háng như tắc mạch do cục máu đông, lỏng khớp….Như trường hợp bệnh nhân G. bị lỏng chuôi khớp háng nhân tạo đã đặt vào xương đùi trái cách đây 6 năm. Theo thời gian sự kết dính giữa khớp nhân tạo với xương của người bệnh sẽ bị yếu đi, lúc này khớp nhân tạo sẽ bị lỏng. Điều này tùy thuộc vào nhiều yếu tố khác nhau như: loại khớp nhân tạo, chất lượng xương của người bệnh,… Lúc đó, người bệnh sẽ bị đau nhiều khi đi đứng do phần lực tác dụng lên chân có khớp nhân tạo quá lớn. Nếu khớp bị lỏng nhiều, bắt buộc người bệnh phải mổ thay lại một khớp khác mới có thể vận động được.

Ê kíp phẫu thuật đang thay khớp nhân tạo cho bệnh nhân
BSCKII. PHAN HỮU CHÍNH
Giám đốc BVĐK tỉnh Khánh Hòa





