Vừa qua, Khoa Răng Hàm Mặt – Bệnh viện Đa khoa tỉnh Khánh Hòa đã điều trị thành công 01 ca nang xương hàm trên do điều trị tủy răng sai cách.
Có nhiều cách phân loại nang xương hàm, trong đó nang quanh chóp răng là loại hay gặp nhất. Nguyên nhân là do sự nhiễm trùng mãn tính ở quanh cuống răng tạo nên tổ chức hạt quanh cuống, đồng thời cũng kích thích mảnh vụn biểu mô Malassez phát triển để hình thành u hạt biểu mô, rồi sẽ tiến triển hình thành nang quanh chóp răng. Nang chứa dịch bên trong lớn dần, đưa đến sự tiêu xương lân cận và sự lớn dần của nang.
Nang xương hàm thường không có bất kỳ triệu chứng nào, và thường được phát hiện tình cờ qua quá trình kiểm tra hoặc chụp X-quang định kỳ. Những nang này thường lành tính (không phải ung thư), tuy vậy, tất cả các khối u nang ở đầu và cổ phải được các bác sĩ phẫu thuật miệng, hàm mặt kiểm tra càng sớm càng tốt.
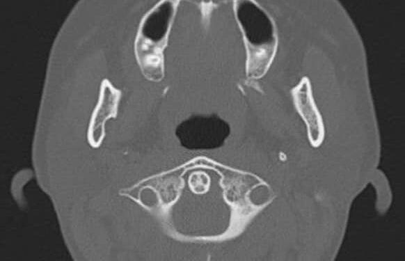
Sau khi kiểm tra, các bác sĩ sẽ đề nghị chụp X-quang Panorex (chụp X-quang miệng và hàm), chụp CT scan để khảo sát chính xác
Gần đây, Khoa Răng Hàm Mặt có tiếp nhận bệnh nhân L.T.X. (nữ, 33 tuổi), đã điều trị tủy vào bọc răng sứ các răng 11, 21 cách đây 3 năm. Bệnh nhân đến khám vì bị sưng nề môi trên và chảy dịch mủ vùng răng cửa hàm trên. Sau khi chụp phim và thăm khám, bác sĩ phát hiện nang xương hàm trên khá to, kéo dài hết 4 răng cửa hàm trên. Nguyên nhân do răng 11 điều trị tủy không tốt dẫn đến hình thành nang xương, gây tiêu xương, nang không đau, to dần, gây biến dạng mặt và cần phẫu thuật để loại bỏ nang xương.


BSCKII. Nguyễn Văn Toàn – Trưởng Khoa Răng Hàm Mặt cho biết: “Đây là bệnh lý mang tính chất lành tính, diễn tiến âm thầm phá hủy xương mà hoàn toàn không đau, không có triệu chứng cho đến khi giai đoạn toàn phát. Bệnh này thường để lại những hậu quả nặng nề, gây tiêu xương nghiêm trọng, ảnh hưởng đến thẩm mỹ và chức năng”.
Ngay sau khi tiếp nhận, bệnh nhân đã được điều trị tủy các răng 12, 21, 22, điều trị tủy lại R11. Sau đó, tiến hành phẫu thuật để nạo khoét toàn bộ nang và cắt chóp các R11, 21, 12, 22.
Bệnh nhân được xuất viện sau phẫu thuật 5 ngày, và sẽ tiếp tục được theo dõi định kỳ mỗi 6 tháng để đánh giá lại sự lành thương.
Điều trị tủy là một thủ thuật nha khoa cơ bản, mức độ thành công trên 90%, nhưng việc chọn lựa cơ sở nha khoa không uy tín có thể dẫn đến những hậu quả không mong muốn.
Tại Khoa Răng Hàm Mặt, bệnh lý nang quanh chóp răng được điều trị thường quy, tuy nhiên, bệnh nhân thường đến khám vào giai đoạn bệnh lý đã quá muộn, khi mà xương hàm đã bị phá hủy rất nghiêm trọng.
Vì vậy, khi thấy có dấu hiệu bất thường ở vùng hàm mặt, nên thăm khám bác sĩ kịp thời để phát hiện sớm và tránh những biến chứng nặng nề từ các u nang hàm.





