Lãnh đạo Khoa Ngoại Chấn thương Chỉnh hình – Bỏng (CTCH-B) cho biết: Ngày 29/6/2019 trong chương trình chuyển giao kỹ thuật, BS chuyên gia Phan Văn Tiếp cùng BSCKI. Hoàng Trung Thông và BS Nguyễn Xuân Sỹ của khoa Ngoại CTCH-B đã phẫu thuật điều trị thành công cho bệnh nhân nhi 11 tuổi, địa chỉ phường Ea knốp, huyện Ea kar, Dăk Lăk.
Bệnh nhân bị té chấn thương lúc 5 tuổi, được chẩn đoán gãy bong sụn tiếp hợp đầu dưới xương đùi, được chỉ định bó bột. Sau điều trị trẻ chậm phát triển chiều cao so với tuổi và chân bị lệch trục nên bố mẹ đã đưa đến khám với BSCKII. Phan Văn Tiếp. Chẩn đoán trước mổ là RỐI LOẠN PHÁT TRIỂN SỤN TĂNG TRƯỞNG ĐẦU DƯỚI XƯƠNG ĐÙI 2 BÊN. Sau 60 phút phẫu thuật, kết hợp với phương tiện màn hình tăng sáng (C-ARM), các phẫu thuật viên đã dùng đinh Kirschner tiến hành hàn sụn tiếp hợp ở đầu dưới xương đùi và đầu trên xương chày vào vị trí cố định tốt.

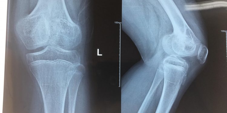
Phim chụp Xquang xương đùi của bệnh nhi trước mổ
BSCKII. Phạm Đình Thành cho biết:
– Sụn tiếp hợp là sụn tăng trưởng nằm giữa đầu xương và đầu thân xương dài, chịu trách nhiệm về phát triển chiều dài của xương. Sụn tiếp hợp thông thường sẽ vôi hóa dần trong khoảng thời gian từ lúc sơ sinh đến 18 tuổi. Đôi khi xảy ra sớm hơn và cũng có thể trễ hơn là khoảng từ 20-21 tuổi tùy vào các yếu tố như di truyền, dinh dưỡng, thể dục thể thao, kích thích tố trong cơ thể, tai nạn, sự sinh hoạt hàng ngày đến sụn và xương. Sụn tăng trưởng nằm trong đầu xương hoặc các mấu, mõm xương tạo nên đầu xương và các mấu động, mỏm xương giúp hoàn chỉnh hình thể của xương.
– Trong cơ thể có rất nhiều nơi chứa mô sụn này nhưng vùng đầu gối, và mắt cá chân là hai nơi quan trọng trong phát triển chiều cao của con người. Rất nhiều nội tiết tố, sinh tố và các yếu tố tăng trưởng tác động lên các hoạt động của sụn tiếp hợp đặc biệt trong lứa tuổi dậy thì. Khuyết tật hoặc tổn thương ở sụn tiếp hợp không được phát hiện lúc chấn thương, điều trị không đúng phương pháp và BS không chuyên khoa sẽ ảnh hưởng đến sự phát triển của xương, gây ra nhiều triệu chứng, biến chứng và dị tật.

Phim chụp Xquang xương đùi của bệnh nhi sau mổ
Một số sụn tiếp hợp dễ ngưng tăng trưởng
- Đầu dưới xương quay không dễ bị ngưng tăng trưởng
- Salter II ít bị ngưng tăng trưởng
- Đầu dưới xương đùi rất dễ bị ngưng tăng trưởng
Tại sao một số sụn tiếp hợp dễ bị ngưng tăng trưởng?
- Tổn thương vòng quanh sụn (perichondrial ring) gây ngưng tăng trưởng
Các hậu quả của ngưng tăng trưởng:
- Ngắn xương
- Biến dạng
- Chiều dài xương lệ thuộc vào tuổi của bệnh nhân
- Biến dạng lệ thuộc vào tuổi và phạm vi đóng sụn tiếp hợp
Sụn tiếp hợp đóng lúc nào?
- Xương cánh tay: muộn – 18 tuổi
- Xương quay – 16 tuổi
- Đầu dưới xương đùi / đầu trên xương chày – 16 (18)
- Đầu dưới xương chày – 16 tuổi
- Nhưng cao điểm tăng trưởng xuất hiện ở các thời điểm khác nhau
Các hướng giải quyết một trường hợp ngưng tăng trưởng sụn tiếp hợp:
- LÀM NGỪNG biến dạng
- LÀM NGỪNG chênh lệch chiều dài chi
- SỬA CHỮA biến dạng
- SỬA CHỮA chênh lệch chiều dài chi
- PHỤC HỒI tăng trưởng – nếu được
– Rối loạn phát triển sụn tăng trưởng do chấn thương dễ làm biến dạng, chênh lệch chiều dài chi, ảnh hưởng đến sự phát triển chiều cao, ảnh hưởng đến ngoại hình sẽ tạo sự tự ti mặc cảm và hạn chế khi con em trưởng thành bước vào công việc xã hội. Hiện nay chuyên ngành CTCH nói chung và khoa Ngoại CTCH-Bỏng của Bệnh viện Đa khoa tỉnh Khánh Hòa đã có thể khám và điều trị khi bệnh nhân mới bị chấn thương hoặc xử trí sự ngưng tăng trưởng của sụn tiếp hợp.
– Quý phụ huynh nên quan tâm sâu sát khi con em bị chấn thương vùng đầu gối, mắt cá….để được khám và điều trị tại cơ sở y tế có chuyên khoa, đúng phương pháp, tránh được các biến chứng.
BSCKII. Phạm Đình Thành







